Dr. Jazeela
General & Cosmetic Dentist
A highly skilled dentist with 5+ years of experience, delivering comprehensive care from root canal therapy to advanced crown and bridge procedures. Specializing in cosmetic dentistry, she focuses on biomimetic restorations and bespoke smile makeovers with natural, refined results. Known for her warm, gentle approach, she ensures a calm, pain-free experience for every patient while continually advancing her expertise in aesthetic and restorative dentistry.
5+ Years Of Experience
Gentle and pain-free treatment approach
Personalized, patient-focused care
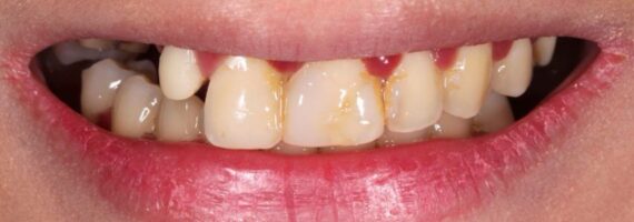
Recent Cases
Check out our Before & After
All photographs are copyrighted & may not be used without permission
Google Review
Our patients say Sahara Dental Clinic has the best dentist in Dubai.




